名医科普
牙齿不好看?让“贴面”来拯救你的笑容!
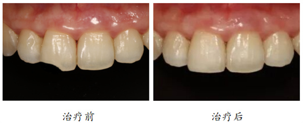
“熊猫er牙医,我的门牙缺了个小角角,都不好意思笑哦!”
“我也是,好大一个缝缝在那儿,要啷个办喃?”
“熊猫er牙医,我牙齿好黄哦,能不能帮我做漂亮点?”
“牙齿不好看,又想要大方明媚的八颗牙式笑容?合理运用贴面,改善前牙美观!”
一、什么是牙贴面?
这就像女生做美甲的过程。对甲面稍稍打磨抛光,然后在外面贴上一层漂亮的指甲来装饰。牙贴面也是一样的,在原有的牙齿表面贴上一层修复材料,恢复牙齿的正常形态和色泽,让它看上去更加美观漂亮。

二、谁适合做贴面?
1. 牙体缺损
“我小时候把牙磕掉了一点儿,能做贴面吗?”
“牙齿缺了角角、表面坑坑洼洼,或者是长了浅浅的虫牙,这样的都是可以通过贴面来修复的。还有一些朋友的牙齿缺了一点,尝试用树脂补过,但是过不了好久就容易掉,也可以选择贴面来恢复美观。”

2、变色牙
“我的牙齿上有去不掉的斑点,怎么办呢?”
“有些朋友因为四环素牙、氟斑牙等等原因,导致牙齿的颜色不好看,或者是牙齿上有一些纹路和斑点,这时候就可以选择牙贴面,在牙齿的表面来贴一层瓷来掩盖啦。”

3、牙齿形态异常
“我有一个牙齿好小哦,和别的牙长得就不一样。”
“有一些朋友的个别牙齿长得比较小,看起来不太协调,或者是形状比较奇怪,这时候就可以用个贴面在牙齿外面包装一下,让他们看起来和其它的牙齿一样漂亮。”

注意啦,不是所有的情况都可以通过贴面来解决哈。贴面仅仅是修饰表面的作用。
1.牙齿缺损过多损伤到了牙的神经,出现了疼痛的症状,就需要进行相应的治疗,再给牙齿戴上一个牙冠来保护它。
2.如果是因为经常喝咖啡、茶,或者因为烟草造成的变色,这种是可以通过洗牙、喷砂等方法来去除表面的颜色,不需要通过贴面修复。一些轻度的牙体变色也可以尝试漂白来改善外观。
3.好多牙齿挤在一起,牙长得歪歪扭扭,或者是缝缝太大,牙齿中线太歪了的,这些都不适合选用贴面,可以尝试通过矫正牙齿来改善牙齿的排列。
三、贴面的好处
1. 只磨除薄薄一层,甚至不磨除,对牙齿的伤害更小。
2. 陶瓷贴面不易出现染色、脱落的情况,美学性能佳。
3. 治疗过程较短,一般2周可完成修复。
四、注意事项
1. 贴面修复要磨掉少量本来的牙齿,部分患者可能在治疗后会出现牙齿敏感的症状。
2. 贴面修复后,注意不能吃过硬的食物。
3. 人的天然牙齿颜色是偏黄色的,选用比色颜色时,不要过于注重亮白了哟!
下一篇: 颞下颌关节不好?来嘛,关节保健操做起来!










