名医科普
孕期口腔通关秘籍,请查收!
俗话说得好,怀孕就像一路打怪升级,除了各种产检闯关外,大家是否还关注过孕期口腔健康呢?准妈妈们在孕期容易受到各类口腔疾病的困扰,包括:牙龈炎,牙周炎,牙龈瘤,智齿冠周炎,急性牙髓炎、急性根尖周炎等,这些问题严重起来可能影响到准妈妈的全身健康和宝贝的生长发育。相关的口腔状况与口腔卫生不洁(喊你半夜加餐不刷牙),激素水平波动(雌激素一路狂飙)、孕期饮食习惯改变(一会想吃甜的,一会你又想吃酸的,一天要吃好几顿。)等因素密切有关。
“熊猫er牙医,快救救我,自从怀孕后老是牙龈出血,我是刷牙出血、吃饭也出血,就连晚上睡觉不动都要出血。”
“别着急,您可能患了妊娠期牙龈炎,主要表现就是牙龈出血(刷牙或进食时),牙龈红肿。准妈妈们由于孕前没有及时治疗牙龈炎,孕期激素水平的改变,加剧了原有的牙龈炎症状,给准妈妈们带来无尽的痛苦。”
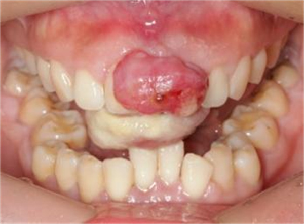
“熊猫er牙医,我刚开始也出血,后面牙龈上长了个小包,我没当回事。几周就成鹌鹑蛋那么大,我说话要咬到它,吃饭也要咬到它,一咬到就出血,要流好久才止得住,好吓人哟。”
“这是典型的妊娠期龈瘤,特点是易出血和长得飞快。?由于妊娠期龈炎未得到及时治疗,增生的牙龈发展为化脓性肉芽肿,即妊娠期龈瘤。严重妨碍准妈妈们进食,甚至会导致感染和贫血。由于瘤体生长速度快,如不及时治疗还会引起牙齿松动脱落。因此,一旦出现类似情况,应及时就诊。”

“熊猫er牙医 ,你看我这个脸对不对称?我这两天最里面那颗后槽牙龈又肿又痛,嘴巴都张不开,吃不了饭。哎,这样下去,我的崽该饿瘦了吧。”
“这是智齿冠周炎,好多人都经历过。由于智齿的萌出年龄正好与女性生育年龄重叠,如果智齿位置异常,一旦口腔卫生控制不佳,很容易引起智齿发炎,如控制不及时,还会进一步发展为间隙感染。对准妈妈们的生命健康带来威胁。”
“熊猫er牙医,这些问题有那么严重啊?但是我害怕治疗对胎儿不好得嘛,我可不可以自己在家吃点药,或者先不管它,等我卸了货再来看?”
“不行。孕妇的口腔疾病特别是牙周疾病严重影响孕妇和胎儿的健康,主要表现在:
1.剧烈疼痛及牙周细菌,增加不良妊娠结局如早产、流产、低体重儿的风险。
2.影响准妈妈进食,导致营养摄入不足,影响胎儿发育。
3.产妇口腔细菌,极易通过亲密接触传染给宝宝。
准妈妈发现牙龈出血、肿痛、增生、牙齿疼痛等口腔问题后,一定要及时到医院进行相关检查和治疗,治疗最佳时机在妊娠4-6个月期间。”
“我还没出现这些症状,孕期如何预防这些口腔疾病呢?”
“那就恭喜您了,因为最好的治疗是预防。给大家奉上孕期口腔通关秘籍:
1.孕前6个月做全面的口腔检查。
2.保持良好的口腔卫生清洁,饭后漱口、早晚刷牙,每天使用牙线等辅助清洁工具。
3.合理饮食,均衡营养,建立良好的生活习惯。
4孕期口腔检查,早发现早治疗。
孕期进行口腔治疗不仅要根据患者的全身情况制定方案,同时需要严格把控药物和治疗时机,才能尽量避免严重不良后果。”
最后,愿所有妈妈孕期健康,宝宝健康茁壮成长!
上一篇: 舌头开裂,是怎么了?
下一篇: 口腔扁平苔藓是啥?会传染不?










